Digital Health Platform
In the service section of Olusium, we take immense pride in introducing our cutting-edge "Digital Health Platform." This innovative platform is designed to revolutionize the way healthcare services are delivered and experienced. By harnessing state-of-the-art technologies, we are committed to providing a seamless and comprehensive healthcare ecosystem for individuals and healthcare providers alike. Our Digital Health Platform is powered by advanced Artificial Intelligence (AI) and Machine Learning (ML) algorithms, enabling precise and personalized healthcare solutions. Through data-driven insights, this platform empowers patients to make informed decisions about their well-being and treatment options. From preventive care to disease management, our platform offers a holistic approach to health and wellness.
One of the key features of our Digital Health Platform is its ability to seamlessly integrate with various health monitoring devices and wearables. Through real-time data synchronization, patients can easily track their vital signs, activity levels, and other health metrics. This invaluable data provides healthcare professionals with a comprehensive view of a patient's health, enabling accurate diagnoses and personalized treatment plans. To ensure privacy and security, we have implemented state-of-the-art encryption and data protection measures. Our platform complies with the highest standards of data security and regulatory requirements, assuring patients that their sensitive health information is safe and confidential. Beyond individual healthcare, our Digital Health Platform also facilitates efficient communication and collaboration among healthcare providers. Streamlined access to patient data and medical records fosters seamless coordination, leading to improved care outcomes and reduced medical errors.
We transcend the boundaries of conventional healthcare, embarking on a holistic journey encompassing a diverse array of wellness programs and resources. Our avant-garde platform, powered by multi-layer deep learning methodologies and proprietary architectures, delves into the intricacies of health parameters. Through cutting-edge spectral analysis, we unravel metabolic shifts through genetic learning, forging new frontiers in understanding. Employing state-of-the-art signal processing, we decode intricate health data, unveiling insights that foster health education and preventive measures within our community. Our commitment is unwavering: to propel health education, advance preventive measures, and redefine the landscape of healthcare through technology. The Olusium Digital Health Platform stands as the vanguard of this transformative odyssey, ushering in an era of patient-centric, data-driven healthcare services. Evolving in perpetual innovation, we pledge to fortify the well-being of our users and advance the trajectory of healthcare. United, let us embrace the potential of technology to shape a healthier tomorrow. As we traverse this path, the convergence of multi-layer deep learning, proprietary architectures, spectral analysis, and digital pathology from histopathology findings equips healthcare professionals to assess, monitor, and comprehend disease progression, nurturing a harmonious alliance between cutting-edge technology and compassionate care.
Healthcare And Life Sciences
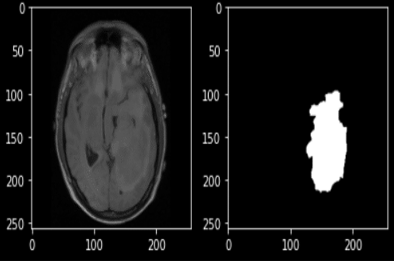
In the Healthcare and Life Sciences section of Olusium, we are committed to revolutionizing disease detection, monitoring, and diagnosis through the integration of state-of-the-art technologies. Our advanced solutions harness the power of cutting-edge innovations to enhance patient care and overall well-being.At Olusium, we understand the critical role that technology plays in the healthcare industry. With our unwavering focus on research and development, we strive to stay at the forefront of medical advancements. Our team of experts, including doctors, scientists, and technologists, collaborate to create pioneering solutions that cater to the evolving needs of patients and healthcare providers.
One of our primary areas of expertise lies in disease detection. Using sophisticated techniques and algorithms, we have developed a diagnostic platform that enables the early detection of various diseases. By leveraging artificial intelligence and machine learning, we have achieved unparalleled accuracy in identifying potential health issues at their initial stages. This empowers medical professionals to take proactive measures, leading to improved treatment outcomes and better patient outcomes. Additionally, our state-of-the-art technologies extend to disease monitoring. We have devised remote monitoring systems that allow healthcare providers to track patients' health status in real-time. This continuous monitoring not only enhances patient compliance but also aids in identifying any changes or abnormalities promptly. By providing healthcare professionals with comprehensive data, our technologies facilitate personalized treatment plans and interventions, ensuring the best possible care for each individual.
At Olusium, we understand the significance of accurate and efficient disease diagnosis. We have invested in innovative tools, such as high-resolution imaging and advanced genetic analysis, to achieve precise diagnoses. Through these advancements, we reduce diagnostic uncertainties, thus expediting the path to effective treatments and therapies. Our commitment to the well-being of individuals extends beyond the realm of disease detection and diagnosis. We also focus on promoting overall well-being and preventive care. With the integration of wearables and health tracking devices, we empower individuals to proactively monitor their health metrics, empowering them to take charge of their well-being and make informed lifestyle choices. In the Healthcare and Life Sciences section of Olusium, our services encompass a comprehensive approach to health and wellness. By combining groundbreaking technologies, medical expertise, and a passion for innovation, we are determined to elevate the standards of healthcare delivery and contribute to a healthier and happier world.
Data Analytics
Olusium is a cutting-edge data analytics service provider that offers an innovative service aggregation in various domains, including health, disease diagnosis and prognosis, data science, weather, business analysis, stock market data, satellite communication data analysis, and more. The service aggregation provides a comprehensive and integrated solution to meet the growing demand for data-driven decision-making and insights. One of the key areas where Olusium excels is in health analytics. With the help of advanced data analytics tools and techniques, Olusium helps healthcare professionals to diagnose and prognose diseases and develop personalized treatment plans for patients. The service includes the analysis of large datasets, such as electronic health records, medical images, and genomic data, to identify patterns and correlations that can help improve patient outcomes.
In addition to health analytics, Olusium also offers data science services that help organizations to leverage data to gain insights into their operations, customer behavior, and market trends. The service includes the use of advanced machine learning algorithms and predictive modeling techniques to generate accurate forecasts and recommendations. Another area where Olusium excels is in weather analytics. With access to real-time weather data and advanced analytics tools, Olusium can help businesses and government agencies to make informed decisions about everything from transportation to disaster response. The service includes the analysis of historical weather patterns and trends to identify potential risks and opportunities. Olusium also offers business analytics services that help organizations to optimize their operations and increase their bottom line. The service includes the analysis of financial data, customer behavior, and market trends to identify areas of improvement and growth opportunities. In addition to these services, Olusium also provides data analysis services for the stock market, satellite communication data analysis, and more. By aggregating these services, Olusium provides a comprehensive and integrated solution that meets the diverse needs of its clients.
AI & ML
Olusium is a leading technology company that is revolutionizing the field of artificial intelligence, machine learning, and neuromorphic computing. They are at the forefront of developing cutting-edge technologies that are making significant advancements across various multidisciplinary domains. One of the major breakthroughs offered by Olusium is in the field of AI. They have developed state-of-the-art algorithms that can process large amounts of data and identify patterns that were previously impossible to detect. Their AI technology is designed to learn from data, making it more accurate and efficient with time. Moreover, Olusium has made significant advancements in the field of machine learning. Their machine learning algorithms have the ability to continuously learn and adapt, making them well-suited for complex and dynamic environments. These algorithms have been applied in various multidisciplinary domains, including healthcare, finance, and energy.
Another area where Olusium is making a significant impact is in neuromorphic computing. This technology is inspired by the structure and function of the human brain, and Olusium has developed a neuromorphic chip that can perform complex computations while consuming very little power. This technology has the potential to revolutionize the way we process information, particularly in areas such as image and speech recognition. Olusium's technologies are being applied in various multidisciplinary domains, including healthcare, finance, energy, and transportation. In the healthcare industry, for example, their AI and machine learning technologies are being used to analyze medical images and identify diseases at an early stage. In finance, their algorithms are being used to analyze market trends and predict future trends. In energy, they are helping to optimize energy consumption and reduce waste. In transportation, their technology is being used to develop autonomous vehicles and optimize traffic flow.
Embedded & IoT
Olusium is a cutting-edge technology company that offers a range of embedded and IoT solutions in the multidisciplinary domain. Their technologies are designed to help businesses streamline their operations, increase efficiency, and reduce costs. One of Olusium's key offerings is their embedded systems technology. This includes hardware and software solutions that are specifically designed for use in a wide range of devices, including smartphones, wearables, and industrial equipment. These solutions are designed to be low-power, high-performance, and highly customizable, making them an ideal choice for companies looking to develop new products or improve their existing ones. Another key area of expertise for Olusium is IoT technology. They offer a range of solutions that allow businesses to connect their devices and equipment to the internet, enabling them to gather data and analyze it in real-time. This can help businesses to optimize their operations, identify potential issues before they become problems, and improve the overall performance of their equipment.
Olusium also offers a range of multidisciplinary solutions that combine embedded systems and IoT technology with other cutting-edge technologies, such as artificial intelligence and machine learning. These solutions are designed to help businesses solve complex problems, optimize their operations, and improve their bottom line. For instance, Olusium's smart city solutions use a combination of embedded systems, IoT technology, and AI to help cities manage their resources more efficiently. These solutions can monitor everything from traffic patterns to air quality, enabling cities to make more informed decisions about how to allocate their resources and improve the quality of life for their citizens. Olusium is at the forefront of embedded and IoT technology in the multidisciplinary domain. Their cutting-edge solutions are designed to help businesses improve their operations, increase efficiency, and reduce costs, and their expertise in areas such as AI and machine learning ensures that they are well-positioned to help businesses solve even the most complex problems.
Research and Development
Olusium is a research and development facility that offers state-of-the-art technologies in multidisciplinary fields. Its mission is to provide cutting-edge research and development services to organizations across a broad range of industries. The facility is equipped with advanced laboratories, testing equipment, and highly qualified researchers, engineers, and scientists. It covers an extensive range of disciplines, including materials science, chemistry, engineering, and physics, among others. This wide-ranging expertise allows Olusium to offer comprehensive solutions to complex technological challenges. The significance of the Olusium research and development facility in the modern world cannot be overstated. As the world becomes increasingly interconnected and technology-driven, the demand for innovative solutions and products is greater than ever. Olusium plays a crucial role in meeting this demand by providing organizations with the tools and expertise they need to develop cutting-edge technologies and products. The facility's multidisciplinary approach is particularly valuable in this regard. By combining the knowledge and skills of experts in diverse fields, Olusium is uniquely positioned to tackle complex technological challenges that require a holistic approach. This collaborative approach helps to promote innovation and fosters the development of breakthrough technologies that can have a transformative impact on society.
Moreover, the Olusium research and development facility provides a platform for knowledge transfer and collaboration between academia and industry. The facility is a hub for research and development activities, where scientists and researchers from different backgrounds can come together to share their expertise and collaborate on research projects. This collaboration helps to accelerate the pace of technological innovation and fosters the development of new products and services that can benefit society. In conclusion, the Olusium research and development facility is a critical resource for organizations across a broad range of industries, providing state-of-the-art technologies, expertise, and resources to develop innovative solutions to complex technological challenges. Its multidisciplinary approach, collaborative culture, and commitment to innovation make it a significant player in the modern world of technology and a vital contributor to the advancement of science and technology.
